Graži šypsena ir sveiki dantys kiekvienam iš mūsų yra ypač svarbūs ne tik dėl estetinio vaizdo, bet ir sveikatos problemų. Apie dantų gydymą ir protezavimą pasakoja odontologijos klinikos „Estetinė odontologija“, įsikūrusios Ukmergėje, Vytauto g. 10-10, gydytojai odontologai.
Dantų plombavimas – dažniausiai odontologo kabinete atliekama procedūra
Terapinis dantų gydymas, tradiciškai vadinamas dantų plombavimu, odontologo kabinete dažniausiai atliekama procedūra. Šios procedūros metu grąžteliais yra pašalinami karioziniai audiniai ir susidariusi ertmė uždaroma plombinėmis medžiagomis.
„Priklausomai nuo danties pažeidimo ir siekiamo estetinio vaizdo klinikoje naudojame šviesoje kietėjančius kompozitus, stiklojonomerines plombas (pieniniams dantukams) ir estetiniam plombavimui skirtas medžiagas, pasižyminčias ypatingu skaidrumu bei estetika“, – vardijo gydytoja odontologė Dovilė Deksnienė.
Jei laiku nesikreipiama pas gydytoją odontologą ir negydomas kariesas, šis gali sukelti danties skausmą (nervo uždegimą), kuris negydomas progresuoja į viršutinį periodontitą, kurio metu galimas tinimas ir skausmas. Taigi, kuo anksčiau pašalinamas kariesas, tuo trumpesnis ir lengvesnis gydymas.
Dantų netekimo pasekmės
Dėl prastos asmeninės burnos higienos, įsisenėjusio karieso bei jo komplikacijų, odontologinių ligų (periodonto, ginvito ir kt.), nelaimingų atsitikimų ar traumų netenkame vieno ar net visų dantų. Praradus dantis ne visi skuba pas gydytoją odontologą. Retas kuris žino, kad dantų netekimas sukelia tiek daug problemų.
„Dantų netekimas sukelia pacientui ne tik fiziologinių, bet ir psichologinių problemų: sunku tinkamai sukramtyti maistą, dėl to gali varginti virškinimo problemos, didesnė apkrova tenka šalia esantiems dantims, kurie laikui bėgant pradeda greičiau dilti, prarastų dantų vietose pradeda nykti kaulas ir prarandama veido estetika. Dantų protezavimas visų šių nepatogumų gali padėti išvengti“, – pabrėžė gydytoja odontologė Aušrinė Šidlauskaitė.
Odontologijos klinika
„Estetinė odontologija“ sudariusi sutartį su Teritorine ligonių kasa – galimybė dantis protezuoti nemokamai
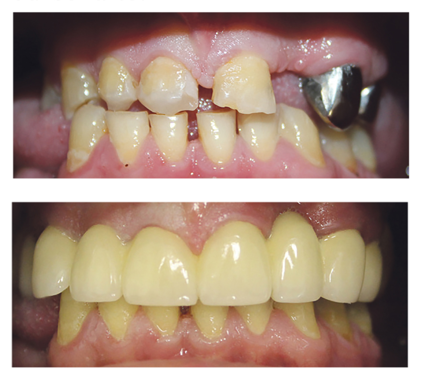
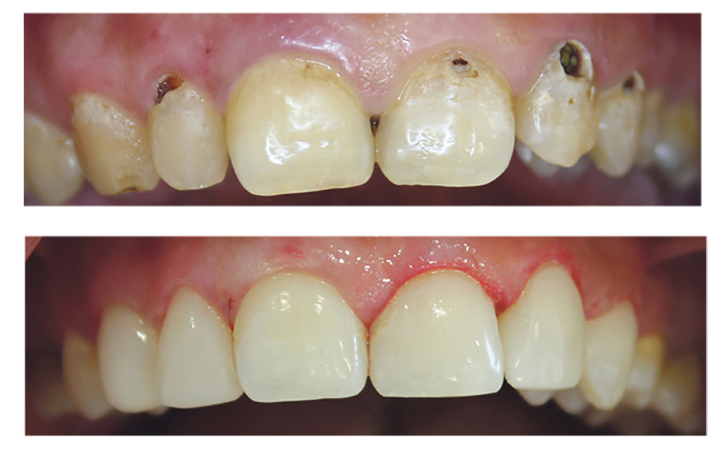
Odontologijos klinikoje „Estetinė odontologija“ pacientams siūlomi išimami dantų protezai (dantų plokštelės, atraminiai lanko protezai) ir neišimami dantų protezai (vainikėliai, tiltai, įklotai bei užklotai) iš metalo keramikos, cirkonio ar bemetalės „E-max“ keramikos.
„Pirminės konsultacijos metu, įvertinus paciento burnos ertmės būklę ir atsižvelgiant į jo asmeninius pageidavimus bei finansines galimybes, sudarome gydymo planą. Jame išsamiai aptariami įvairūs galimi dantų atkūrimo būdai, gydymo trukmė, eiga ir kaina. Dantų protezavimo planas yra sudaromas kiekvienam pacientui individualiai“, – teigė gydytoja odontologė Aušrinė Juršėnaitė.
Odontolologijos klinika „Estetinė odontologija“ yra sudariusi sutartį su Teritorine ligonių kasa, kuri suteikia galimybę atlikti kompensuojamas protezavimo paslaugas iš privalomojo sveikatos draudimo fondo. Šia nemokamo protezavimo galimybe gali pasinaudoti senatvės pensininkai, vaikai iki 18 metų bei neįgalūs asmenys.
„Norime visiems priminti, kad dantis geriau gydyti nei protezuoti, tad raginame nelaukti, kol dantų skausmas taps nepakeliamas, ir užsiregistruoti profilaktiniam dantų būklės patikrinimui jau šiandien. Be dantų plombavimo ir protezavimo, gydome ir pergydome dantų šaknų kanalus, breketais ir plokštelėmis tiesiname dantis, jei reikalinga implantuojame dantis“, – pabrėžė gydytoja odontologė Dovilė Deksnienė. „Naudojant implantus galima atkurti vieną arba visus prarastus dantis, tiesa, nereikės sriegti tiek implantų, kiek netekote dantų, – užteks vos 4 implantų vienam žandikauliui ir galėsite džiaugtis plačia šypsena“, – baigė pokalbį gydytoja odontologė Vida Laurinonienė.
Šiuo metu odontologijos klinikoje „Estetinė odontologija“ konsultacija dėl dantų implantavimo ir protezavimo NEMOKAMA. Odontologijos klinika įsikūrusi Vytauto g. 10-10, Ukmergėje. Telefonas pasiteirauti arba registruotis +370 614 96000. Daugiau informacijos www.laudenta.lt.





